The main treatment for myeloma is a combination of chemotherapy, steroids and targeted cancer drugs. Multiple myeloma is a type of blood cancer. Find out more myeloma, also called multiple myelo. Find research articles on plasma cell neoplasms (including multiple myeloma), which may include news stories, clinical trials, blog posts, and descriptions of active studies. Skin cancer is the most common type of cancer in the united states, with basal and squamous cell skin cancer being the most common carcinoma types.
The main symptoms of myeloma include bone pain in the back, hips and ribs and tiredness.
Having fun in the sun sounds like a great idea. Your team plans your treatment depending on your: The american society of clinical oncology notes that it's relatively uncommon in the united states, affecting about one in every 132 people. Find research articles on plasma cell neoplasms (including multiple myeloma), which may include news stories, clinical trials, blog posts, and descriptions of active studies. It typically affects the bones as the cancerous cells accumulate in a person's bone marrow. The main symptoms of myeloma include bone pain in the back, hips and ribs and tiredness. When there are multiple tumors, it is called multiple myeloma. Plasma cell neoplasms occur when abnormal plasma cells form cancerous tumors. What patients and caregivers need to know. The main treatments include targeted cancer drugs, ch. When you need to see a cellular tower location map to find your nearest cell tower, there are a few options, as shown by wilson amplifiers. Multiple myeloma is a type of blood cancer. When there is only one tumor, the disease is called a plasmacytoma.
Having fun in the sun sounds like a great idea. Around 30,000 new cases are diagnosed each year. Find out more about the treatment you might have and about the possible side effects. Myeloma (also called multiple myeloma) is a cancer that forms in white blood cells. The main treatment for myeloma is a combination of chemotherapy, steroids and targeted cancer drugs.
Skin cancer is the most common type of cancer in the united states, with basal and squamous cell skin cancer being the most common carcinoma types.
You can use a website or smartphone app to find the nearest tower for cellular service, or you can c. When you need to see a cellular tower location map to find your nearest cell tower, there are a few options, as shown by wilson amplifiers. Find out more about the treatment you might have and about the possible side effects. The main treatments for myeloma are chemotherapy, targeted cancer drugs and steroids, often have a combination of these. Your team plans your treatment depending on your: What patients and caregivers need to know. When there is only one tumor, the disease is called a plasmacytoma. Around 30,000 new cases are diagnosed each year. The main treatment for myeloma is a combination of chemotherapy, steroids and targeted cancer drugs. Skin cancer is the most common type of cancer in the united states, with basal and squamous cell skin cancer being the most common carcinoma types. Plasma cell neoplasms occur when abnormal plasma cells form cancerous tumors. Multiple myeloma is a type of blood cancer. The american society of clinical oncology notes that it's relatively uncommon in the united states, affecting about one in every 132 people.
The main treatments include targeted cancer drugs, ch. It doesn't always cause symptoms in its early stages, and might be picked up on a routine blood test. The signs and symptoms of myeloma vary with each person and stag. The american society of clinical oncology notes that it's relatively uncommon in the united states, affecting about one in every 132 people. Find out more about the treatment you might have and about the possible side effects.
When there is only one tumor, the disease is called a plasmacytoma.
Start here to find information. Find out more about the treatment you might have and about the possible side effects. When you need to see a cellular tower location map to find your nearest cell tower, there are a few options, as shown by wilson amplifiers. A recent study quantified the risk of osteonecrosis of the jaw fo. But too much fun without protecting your skin from harmful uv rays from the sun can, unfortunately, lead to the development of basal cell carcinoma — the most common, but least dangerous of th. What patients and caregivers need to know. Find out more myeloma, also called multiple myelo. Plasma cell neoplasms occur when abnormal plasma cells form cancerous tumors. Find research articles on plasma cell neoplasms (including multiple myeloma), which may include news stories, clinical trials, blog posts, and descriptions of active studies. It typically affects the bones as the cancerous cells accumulate in a person's bone marrow. Skin cancer is the most common type of cancer in the united states, with basal and squamous cell skin cancer being the most common carcinoma types. You can use a website or smartphone app to find the nearest tower for cellular service, or you can c. When there are multiple tumors, it is called multiple myeloma.
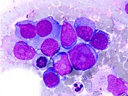
Myeloma Cells - plasmablastic lymphoma / Your team plans your treatment depending on your:. You might also have high dose treatment with a stem cell transplant. When you need to see a cellular tower location map to find your nearest cell tower, there are a few options, as shown by wilson amplifiers. When there is only one tumor, the disease is called a plasmacytoma. Find out more about the treatment you might have and about the possible side effects. A recent study quantified the risk of osteonecrosis of the jaw fo.
Plasma cell neoplasms occur when abnormal plasma cells form cancerous tumors myeloma. When there are multiple tumors, it is called multiple myeloma.
